Volume 16, Issue 2 (Mar-Apr 2022)                   mljgoums 2022, 16(2): 13-20 | Back to browse issues page


XML Print


Download citation:
BibTeX | RIS | EndNote | Medlars | ProCite | Reference Manager | RefWorks
Send citation to:

Moazeni M, Nabili M. Identification of Candida Species Isolated from Hospitalized Patients with Candiduria. mljgoums 2022; 16 (2) :13-20
URL: http://mlj.goums.ac.ir/article-1-1363-en.html
1- Invasive Fungi Research Center, Communicable Diseases Institute, Mazandaran University of Medical Sciences, Sari, Iran
2- Department of Medical Laboratory Sciences, Faculty of Medicine, Sari Branch, Islamic Azad University, Sari, Iran Hospital Administration Research Center, Sari Branch, Islamic Azad University, Sari, Iran Laboratory Sciences Research Center, Golestan University of Medical Sciences, Gorgan, Iran , m.nabili2010@gmail.com
Full-Text [PDF 659 kb]   (1951 Downloads)     |   Abstract (HTML)  (9323 Views)
Full-Text:   (3516 Views)
ABSTRACT
Background and objectives: The incidence of candiduria caused by Candida spp. has increased in recent years, particularly in hospitalized patients. Candiduria is most commonly caused by Candida albicans; however, an increase in the prevalence of non-albicans species has been observed during last decades. This study aimed at molecular identification of Candida species isolated from candiduria in hospitalized patients.
Methods: This cross-sectional study was conducted on 530 hospitalized patients in two hospitals in the Mazandaran Province, Iran. Midstream urine specimens were collected and then cultured on CHROMagar Candida medium. Molecular identification of common Candida species was carried out using the polymerase chain reaction-restriction fragment length polymorphism method after enzymatic digestion with MspI. C. albicans and Candida parapsilosis species complexes were identified by amplification of the HWP1 and intein-containing vacuolar ATPase precursor genes, respectively.
Results: The frequency of candiduria was estimated at 14% among hospitalized patients. Of 74 samples positive for candiduria, 65 (87.8%) were isolated from females. The most common predisposing factor to candiduria was diabetes (n=36; 48.6%). The most frequent isolates were C. albicans complex (n=44; 59.4%), followed by Candida glabrata (n= 16; 21.6%), Candida tropicalis (n= 10; 13.5%), Candida Krusei (n= 3; 4%) and C. parapsilosis (n= 1; 1.3%).
Conclusion:  Based on the results, the conventional and molecular methods produced similar results for identification of Candida species. However, accurate identification of Candida spp. requires the use of molecular techniques such as PCR-RFLP, HWP1, and intein-containing vacuolar ATPase precursor genes. Nevertheless, chromogenic methods such as CHROMagar Candida can be used for diagnosis of Candida spp. in laboratories with limited resources.
Keywords: Candida, PCR-RFLP, Candiduria, Hospitalized Patients
 
INTRODUCTION
In recent decades, Candida species, which are known as opportunistic pathogens, have been reported as the fourth leading cause of bloodstream infections in hospitalized patients (1). Candiduria is defined as the presence of yeast in urine samples that indicates sample contamination, colonization of Candida, or urinary tract infections (UTI), such as disseminated candidiasis (2). Candiduria is confirmed when 104-105 CFU/ml (colony forming unit/ml of urine) of Candida is detected in urine; however, Candida-associated UTI is mostly determined by >105 CFU/ml and generally related to the symptoms of the patient (3). Among Candida species, Candida albicans has been reported as the most common cause of candiduria. Nevertheless, an increase in the rate of non-albicans species such as Candida glabrata, Candida parapsilosis, Candida tropicalis, Candida kefir, Candida lusitanae, Candida guilhermondi, and Candida dubliniensis has been reported during the last decades (4-6).
There is some evidence indicating that Candida auris, an emerging multidrug‐resistant yeast  was recently isolated from the urine of a hospitalized patient with candidemia (7). Therefore, accurate identification of species is very important for proper treatment. For example, some Candida species including Candida krusei and C. glabrata show intrinsic resistance to fluconazole. Predisposing factors of candiduria and Candida UTI include old age, female sex, diabetes mellitus, long hospital stay, admission to intensive care unit (ICU) , using broad-spectrum antibiotics, immunosuppressive therapy, radiation therapy, genitourinary tuberculosis, neutropenia, urinary tract instrumentation, renal defect, transplantation, abnormalities of the urinary tract, and catheterization (8, 9). The incidence of candiduria caused by Candida spp. has increased in recent years, particularly in hospitalized patients. Depending on the clinical conditions and underlying diseases, the infection should be treated with effective antifungal agents (2, 10). More than 20% of hospitalized patients admitted to the ICU may develop candi­duria following invasive therapeu­tic and diagnostic procedures (11, 12). Many studies demonstrated that candiduria in critically-ill ICU patients is a sign of severe colonization in the patients (13). Recently, Candida has been reported as the most common nosocomial pathogen isolated from the urogenital tract of ICU patients (14). The prevalence of candiduria in ICU patients was reported to be 19-44% (15). In a study in Spain, 22% of patients who stayed more than seven days in ICU developed candiduria. Approximately one third of ICU patients with a positive Candida culture had a urinary catheter. It has been also reported that ICU patients who receive four different antibiotics have 35% increased risk of developing candidiasis. If Candida is isolated from clinical specimens such as urine, the risk increases to 80% (16).
Candiduria can sometimes lead to systemic infection and candidiasis. Candidemia following candiduria that is associated with high morbidity and mortality (17). Most UTIs are caused by bacterial agents and Candida is often ignored, while increasing evidence suggest the increased rate of UTI cases caused by Candida species, especially in critically-ill patients (18, 19). The present study aimed at molecular identification of Candida species isolated from hospitalized patients with candiduria.
 
MATERIAL AND METHODS 
This cross-sectional study was conducted at some hospitals in the Mazandaran Province, Iran, from May 2018 to April 2019. The study was approved by Ethics Committee of Islamic Azad University of Sari (ethical code: IR.IAU.SARI.REC.1399.051). A total of 530 patients in two hospitals of Imam Khomeini in Sari and Boo Ali Sina in Neka were enrolled. After obtaining informed consent, information including age, gender, hospital ward, duration of hospitalization, and history of diabetes mellitus, urinal catheter use, antimicrobial therapy, malignancies, and chronic obstructive pulmonary disease (COPD) were collected using a questionnaire. History of antifungal medications use and unwillingness to participate in the study were the exclusion criteria.
Midstream urine specimens were obtained after instructing patients on how to collect the sample to eliminate contamination. The specimens were immediately transferred to laboratory for analysis. The specimens were centrifuged at 3000 rpm for 3 minutes and sediment was examined under a microscope. Specimens containing yeast were subjected to culture. Using a standard calibrated loop (0.01 ml), each un-centrifuged and homogenized urine specimen was cultured on CHROMagar Candida medium (CHROMagar Microbiology, France) and incubated at 35 °C for 24-48 hours aerobically away from light. Next, yeasts were primarily identified according to colony morphology. The number of colonies on each plate was counted and presence of ≥104 CFU/ml Candida spp. in positive urine cultures was considered as candiduria (33).
All Candida spp. were subcultured on sabouraud dextrose agar ( Merck, Germany), and genomic DNA was extracted from all recovered yeasts isolates according to a previously described method (20). Molecular identification of common Candida species was performed by a polymerase chain reaction-restriction fragment length polymorphism (PCR-RFLP) method (21). Briefly, the ITS1-5.8S rDNA-ITS2 region was amplified using the primers ITS1 (5’- TCC GTA GGT GAA CCT GCG G-3’) and ITS4 (5’-TCC TCC GCT TAT TGA TAT GC-3’). The PCR amplification process was conducted as follows: initial denaturation at 95 oC for 5 minutes, followed by 35 cycles of denaturation at 95 oC for 15 seconds, annealing at 56 oC for 30 seconds, and elongation at 72 oC for 30 seconds. The PCR products were digested with 5 units of the restriction enzyme MspI (Fermentas, Vilnius, Lithuania) following gel electrophoresis on 2% agarose gel. C. albicans and C. parapsilosis species complexes were identified by amplification of the HWP1 (Hyphal wall protein1) and intein-containing vacuolar ATPase precursor genes, respectively (22, 23) (Table 1).
 
Table 1. Primer sequences used for molecular identification of Candida isolates
Primer Sequences (5’>3’) References
PCR-RFLP for all isolates  
3’-GCACCTTCAGTCGTAGAGACG-5’
3’-GCACCTTCAGTCGTAGAGACG-5’
(45)
ITS1-Forward
ITS4-Reverse
Candida albicans species complex  
5’-GCTACCACTTCAGAATCATCATC-3′
5’-GCACCTTCAGTCGTAGAGACG-3’
(22)
HWP1-Forward
HWP1-Reverse
Candida parapsilosis species complex  
5’-GAGAAAGCACGCCTCTTTGC-3’
5’-TCAGCATTTTGGGCTCTTGC-3’
(23)
OM-Forward
OM-Reverse
 
Data were expressed by descriptive statistics including mean, standard deviation, frequency, and percentage. Data analysis was carried out using SPSS software (version 21).
 
RESULTS
None of the patients had treatment or prophylaxis with antifungal drugs. Out of 530 urine specimens, 74 (14%) were positive for candiduria with a colony count of ≥104 CFU/ml. Of these samples, 65 (87.8%) were taken from females. The mean age of patients with candiduria was 57.5 years (range 14–85 years). The highest rate of Candida spp. was observed in patients aged 41-70 years (Table 2).
Table 2. Age distribution of patients stratified by sex
Age (Years) Male Female Total number (%)
11-20 1 1 2 (2.7%)
21-30 0 8 8 (10.8%)
31-40 0 8 8 (10.8%)
41-50 1 12 13 (17.6%)
51-60 2 11 13 (17.6%)
61-70 2 11 13 (17.6%)
71-80 2 10 12 (16.2%)
81-90 1 4 5 (6.8%)
Total 9 65 74 (100%)
 
Hospitalization for more than 21 days in ICU, use of urinary catheter, steroid drugs and broad-spectrum antibiotic as well as history of diabetes, hematologic malignancies, and COPD were some variables related to candiduria. The most common contributing factors were diabetes (48.6%), urinary catheter (16.2%) and use of steroid drugs and broad-spectrum antibiotics (14.8%) (Table 3).
 
Table 3. Predisposing factors in patients with candiduria
Underlying disease Number (%)
Diabetes 36 (48.6%)
urinary catheter 12 (16.2%)
Use of steroid drugs and broad-spectrum antibiotics 11 (14.8%)
Hematologic malignancies 7 (9.4%)
Hospitalization for more than 21 days in the ICU 7 (9.4%)
COPD 1 (1.3%)
Total 74 (100%)
 
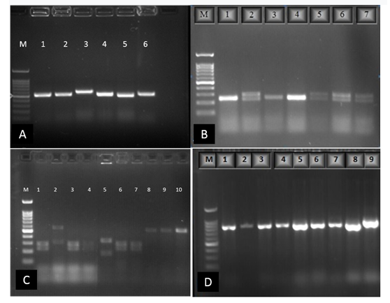
The frequency of candiduria was highest in patients from ICU (41.8%) and the internal medicine ward (31%). Based on the morphological characteristics of the colonies formed on the CHROMagar Candida medium, isolates including C. albicans complex (n=44; 59.4%), C. glabrata (n= 16; 21.6%), C. tropicalis (n= 10; 13.5%), C. krusei (n= 3; 4%) and other Candida spp. (n= 1; 1.3%) were identified (Table 4). Amplifications of the ITS region of the isolates resulted in a pattern of products ranging 500-800 bp. The PCR-RFLP method confirmed the result of morphological method (Figure 1). Accordingly, one isolate was identified as C. parapsilosis complex using intein-containing vacuolar ATPase precursor genes primers, but no C. orthopsilosis, and C. metapsilosis species were identified. Therefore, the isolate was identified as C. parapsilosis sensu stricto (data not shown). For C. albicans complex, a product of about 941 bp was yielded using the HWP1 primers, confirming presence of C. albicans sensu stricto species.
 
Table 4. The frequency of Candida spp. identified using CHROMagar Candida medium and molecular method
Colony color
 
CHROMagar Candida results Molecular results Number (%)
Light green- Green C.  albicans complex C. albicans 44 (59.4%)
Purple or dark pink C. glabrata C. glabrata 16 (21.6%)
Metallic blue C. tropicalis C. tropicalis 10 (13.5%)
Pink, fuzzy C. krusei C. krusei 3 (4%)
white Other Candida spp C. parapsilosis 1 (1.3%)
      Total: 74


Figure 1. (A): Results of gel electrophoresis of PCR products of the ITS region. (B): Electrophoresis image of PCR-RFLP (ITS region digested with Msp1) products on 2% agarose gel [M: 100 bp DNA marker; 1, 3, 4: C. krusei (250, 260 bp); 2, 5, 6, 7: C. albicans complex (239, 298 bp)]. (C): Electrophoresis image of PCR-RFLP (ITS region digested with Msp1) on 2% agarose gel [M: 100 bp DNA marker; 1, 3, 4, 6, 7: C. albicans complex (239, 298 bp); 2: C. glabrata (320, 561bp) 5: C. tropicalis (186, 340bp); 8, 9, 10: C. parapsilosis (520 bp, no cutting site)]. (D): Electrophoresis image of PCR products by HWP1 on 2% agarose gel [M: 100 bp DNA marker; 1-9: C. albicans (941bp)].
 
Figure 2 demonstrates the frequency of Candida spp. in different wards. The most common isolates in the ICU were C. albicans (n= 20; 64.5%), followed by C. glabrata (n= 6; 17.6%), C. tropicalis (n= 4; 12.9%), C. krusei (n= 1; 3.2%).


DISCUSSION

Over the past decades, there has been a significant increase in the incidence of opportunistic urinary tract pathogens. Nowadays, candiduria in hospitalized patients, especially those admitted to ICU, is increasing rapidly (14-16). Accurate identification of Candida species isolated from urine specimens of hospitalized patients is essential for proper treatment management. In the present study, the frequency of candiduria was estimated at 14%. The prevalence of candiduria among hospitalized patients is estimated at 6.5-20% (24). According to several studies in Iran, the average prevalence of candiduria is around 16.5% (25). The highest and lowest frequency of candiduria in Iran were reported from Qazvin (32.3%) and Khuzestan (5.2%) provinces, respectively (26, 27). In our study, a high frequency of candiduria was seen in specimens taken from women (87.8%). Various studies have demonstrated that up to 30% of healthy women may have vaginal colonization of Candida species colonization in the species. Due to the anatomy of women, colonization of Candida spp. can spread to the bladder and kidneys, subsequently causing UTI (28-30). As expected, the frequency of candiduria was higher in older patients (41-70 years). Generally, older people are more exposed to candiduria due to natural changes in the immune system, prolonged hospitalization, and the use of urinary catheters (31, 32). Our results showed that diabetes (48.6%), followed by urinary catheters (16.2%) were the most common predisposing factors for candiduria. The prevalence of diabetes mellitus in candiduria patients is reported to be 39% (33). Patient with diabetics have a weakened immune system due to dysfunction of phagocytosis, which reduces the host's resistance to Candida spp. invasion (5, 34). In one study, prolonged use of urinary catheters increased the risk for candiduria by 12 folds (34). In our study, 14.8% of the patients with candiduria were using steroid drugs and broad-spectrum antibiotics. In a study by Guler and colleagues, the risk of developing candiduria in patients with a history of antibiotic use increased 6-fold (34). Various studies have shown that the use of antibiotics reduces phagocytic activity and antibody production, thereby negatively affecting the host resistance against infection by Candida spp. (33, 35). In our study, hematologic malignancies (9.4%) were identified as another predisposing factor for candiduria in hospitalized patients. In a study by Guler et al., 7.8% of patients with candiduria had cancer, and malignancies increased the risk of candiduria by 0.2 fold (34). In the present study, the highest frequency of candiduria was highest among ICU patients (41.8%), which is in line with findings of a previous study (36). We found C. albicans (64.5%) followed by C. glabrata (17.6%) as the most commonly isolated pathogens from patients with candiduria. This result is consistent with findings of other studies in Iran (11, 37-39). In various studies, C. albicans and C. glabrata have been reported as the most frequent causes of candiduria with prevalence rate of 21-72% and 5-33%, respectively (34). However, in some studies, C. glabrata has been identified as the dominant species followed by C. albicans (40, 41). The inconsistency in the rate of Candida spp. could be associated with difference in the geographical areas and populations of studies (11). In recent years, non-albicans Candida has emerged in hospitalized patients, especially in those with chronic degenerative diseases or trauma (42-44). Appropriate identification and differentiation of the species in the C. albicans complex and C. parapsilosis complex is clinically important. Various studies have observed differences in the antifungal susceptibility patterns of these species. However, identification down to the species level using HWP1 and intein-containing vacuolar ATPase precursor genes primer is necessary to establish appropriate antifungal therapy (23). The method used in our study is comparable to matrix-assisted laser desorption/ionization-time of flight platforms and other PCR-based methods from different aspects including, time required for each test and costs.
 
CONCLUSION
In our study, the frequency of candiduria was estimated at 14% among hospitalized patients. Based on the results, conventional and molecular methods produced similar results for identification of Candida species. However, accurate identification of Candida spp. requires the use of molecular techniques such as PCR-RFLP, HWP1, and intein-containing vacuolar ATPase precursor genes. Nevertheless, chromogenic methods such as CHROMagar Candida can be used for diagnosis of Candida spp. in laboratories with limited resources.
 
ACKNOWLEDGEMENTS
The authors gratefully acknowledge Islamic Azad University, Sari Branch, and Mazandaran University of Medical Sciences (Sari, Iran).
 
DECLARATIONS
Funding
The authors received no financial support for the research, authorship, and/or publication of this article.
 
Ethics approvals and consent to participate
The study was approved by Ethics Committee of Islamic Azad University of Sari (ethical code: IR.IAU.SARI.REC.1399.051). Written informed consent was also taken from all participants.
 
Conflict of interest
The authors declare that there is no conflict of interest regarding publication of this article
Research Article: Research Article | Subject: Mycology
Received: 2021/02/5 | Accepted: 2021/10/10 | Published: 2022/03/28 | ePublished: 2022/03/28

References
1. Gajdács M, Dóczi I, Ábrók M, Lázár A, Burián K. Epidemiology of candiduria and Candida urinary tract infections in inpatients and outpatients: results from a 10-year retrospective survey. Cent European J Urol. 2019;72(2):209-214. [PubMed] [Google Scholar]
2. Fisher JF. Candida urinary tract infections--epidemiology, pathogenesis, diagnosis, and treatment: executive summary. Clin Infect Dis. 2011 ;52 Suppl 6:S429-32. [View at Publisher] [DOI:10.1093/cid/cir108] [PubMed] [Google Scholar]
3. Fisher JF, Kavanagh K, Sobel JD, Kauffman CA, Newman CA. Candida urinary tract infection: pathogenesis. Clin Infect Dis. 2011 ;52 Suppl 6:S437-51. [View at Publisher] [DOI:10.1093/cid/cir110] [PubMed] [Google Scholar]
4. Moazeni M, Asgari S, Nabili M. Nosocomial fungal infections: Epidemiology, diagnosis, treatment and prevention. Journal of Mazandaran University of Medical Sciences. 2018;28(160):182-212. [View at Publisher] [PubMed] [Google Scholar]
5. Weinstein RA, Lundstrom T, Sobel J. Nosocomial candiduria: a review. Clinical infectious diseases. 2001;32(11):1602-7. [View at Publisher] [DOI:10.1086/320531] [PubMed] [Google Scholar]
6. Hassanmoghadam F, Shokohi T, Hedayati MT, Aslani N, Haghani I, Nabili M, et al. High prevalence of itraconazole resistance among Candida parapsilosis isolated from Iran. Curr Med Mycol. 2019 ;5(3):43-46. [View at Publisher] [DOI:10.18502/cmm.5.3.1746] [PubMed] [Google Scholar]
7. Biagi MJ, Wiederhold NP, Gibas C, Wickes BL, Lozano V, Bleasdale SC, et al., editors. Development of high-level echinocandin resistance in a patient with recurrent Candida auris candidemia secondary to chronic candiduria. Open forum infectious diseases; 2019: Oxford University Press US. [View at Publisher] [DOI:10.1093/ofid/ofz262] [PubMed] [Google Scholar]
8. Odabasi Z, Mert A. Candida urinary tract infections in adults. World J Urol. 2020 ;38(11):2699-2707. [View at Publisher] [DOI:10.1093/cid/cir109] [PubMed] [Google Scholar]
9. Hollenbach E. To treat or not to treat-critically ill patients with candiduria. Mycoses. 2008;51:12-24. [View at Publisher] [DOI:10.1111/j.1439-0507.2008.01570.x] [PubMed] [Google Scholar]
10. Khairat SM, Sayed AM, Nabih M, Soliman NS, Hassan YM. Prevalence of Candida blood stream infections among children in tertiary care hospital: detection of species and antifungal susceptibility. Infect Drug Resist. 2019 5;12:2409-2416. [DOI:10.2147/IDR.S196972] [PubMed] [Google Scholar]
11. Fazeli A, Kordbacheh P, Nazari A, Daie Ghazvini R, Mirhendi H, Safara M, et al. Candiduria in Hospitalized Patients and Identification of Isolated Candida Species by Morphological and Molecular Methods in Ilam, Iran. Iran J Public Health. 2019 ;48(1):156-161. [View at Publisher] [DOI:10.18502/ijph.v48i1.804] [PubMed] [Google Scholar]
12. Voltan AR, Fusco-Almeida AM, Mendes-Giannini MJS. Candiduria: epidemiology, resistance, classical and alternative antifungals drugs. SOJ Microbiol Infect Dis. 2014;2(2):1-7. [DOI:10.15226/sojmid.2014.00116] [Google Scholar]
13. Toya S, Schraufnagel D, Tzelepis G. Candiduria in intensive care units: association with heavy colonization and candidaemia. Journal of Hospital Infection. 2007;66(3):201-6. [View at Publisher] [DOI:10.1016/j.jhin.2007.03.028] [PubMed] [Google Scholar]
14. Álvarez-Lerma F, Nolla-Salas J, León C, Palomar M, Jordá R, Carrasco N, et al. Candiduria in critically ill patients admitted to intensive care medical units. Intensive care medicine. 2003;29(7):1069-76. [DOI:10.1007/s00134-003-1807-y]
15. Chen SC, Tong ZS, Lee OC, Halliday C, Playford EG, Widmer F, et al. Clinician response to Candida organisms in the urine of patients attending hospital. Eur J Clin Microbiol Infect Dis. 2008 ;27(3):201-8. [View at Publisher] [DOI:10.1007/s10096-007-0427-9] [PubMed] [Google Scholar]
16. Pfaller MA, Castanheira M. Nosocomial Candidiasis: Antifungal Stewardship and the Importance of Rapid Diagnosis. Med Mycol. 2016 ;54(1):1-22. [View at Publisher] [DOI:10.1093/mmy/myv076] [PubMed] [Google Scholar]
17. Passos XS, Sales WS, Maciel PJ, Costa CR, Miranda KC, Lemos Jde A,et al. Candida colonization in intensive care unit patients' urine. Mem Inst Oswaldo Cruz. 2005 ;100(8):925-8. [DOI:10.1590/S0074-02762005000800016] [PubMed] [Google Scholar]
18. Bongomin F, Gago S, Oladele RO, Denning DW. Global and Multi-National Prevalence of Fungal Diseases-Estimate Precision. J Fungi (Basel). 2017 18;3(4):57. [DOI:10.3390/jof3040057] [PubMed] [Google Scholar]
19. Gharanfoli A, Mahmoudi E, Torabizadeh R, Katiraee F, Faraji S. Isolation, characterization, and molecular identification of Candida species from urinary tract infections. Curr Med Mycol. 2019 ;5(2):33-36. [View at Publisher] [DOI:10.18502/cmm.5.2.1159] [PubMed] [Google Scholar]
20. Yamada Y, Makimura K, Merhendi H, Ueda K, Nishiyama Y, Yamaguchi H, Osumi M. Comparison of different methods for extraction of mitochondrial DNA from human pathogenic yeasts. Jpn J Infect Dis. 2002 ;55(4):122-5. [PubMed] [Google Scholar]
21. Mirhendi H, Makimura K, Khoramizadeh M, Yamaguchi H. A one-enzyme PCR-RFLP assay for identification of six medically important Candida species. Nihon Ishinkin Gakkai Zasshi. 2006;47(3):225-9. [View at Publisher] [DOI:10.3314/jjmm.47.225] [PubMed] [Google Scholar]
22. Romeo O, Criseo G. First molecular method for discriminating between Candida africana, Candida albicans, and Candida dubliniensis by using hwp1 gene. Diagn Microbiol Infect Dis. 2008 ;62(2):230-3. [View at Publisher] [DOI:10.1016/j.diagmicrobio.2008.05.014] [PubMed] [Google Scholar]
23. Arastehfar A, Fang W, Pan W, Liao W, Yan L, Boekhout T. Identification of nine cryptic species of Candida albicans, C. glabrata, and C. parapsilosis complexes using one-step multiplex PCR. BMC infectious diseases. 2018 Sep 25;18(1):480. [View at Publisher] [DOI:10.1186/s12879-018-3381-5] [PubMed] [Google Scholar]
24. Ang BS, Telenti A, King B, Steckelberg JM, Wilson WR. Candidemia from a urinary tract source: microbiological aspects and clinical significance. Clin Infect Dis. 1993 ;17(4):662-6. [View at Publisher] [DOI:10.1093/clinids/17.4.662] [PubMed] [Google Scholar]
25. Gharaghani M, Taghipour S, Halvaeezadeh M, Mahmoudabadi AZ. Candiduria; a review article with specific data from Iran. Turk J Urol. 2018 ;44(6):445-452 [View at Publisher] [DOI:10.5152/tud.2018.54069] [PubMed] [Google Scholar]
26. Seifi Z, Azish M, Salehi Z, Zarei Mahmoudabadi A, Shamsizadeh A. Candiduria in children and susceptibility patterns of recovered Candida species to antifungal drugs in Ahvaz. J Nephropathol. 2013 ;2(2):122-8. [DOI:10.5812/nephropathol.10113] [PubMed] [Google Scholar]
27. Ghiasian SA, Aghamirian MR, Eshghi GR. Nosocomial candiduria in critically Ill patients admitted to intensive care units in Qazvin, Iran. Avicenna Journal of Clinical Microbiology and Infection. 2014;1(2):21622-. [DOI:10.17795/ajcmi-21622] [Google Scholar]
28. Achkar JM, Fries BC. Candida infections of the genitourinary tract. Clin Microbiol Rev. 2010 ;23(2):253-73. [DOI:10.1128/CMR.00076-09] [PubMed] [Google Scholar]
29. Morace G, Borghi E. Fungal infections in ICU patients: epidemiology and the role of diagnostics. Minerva Anestesiol. 2010 ;76(11):950-6. [PubMed] [Google Scholar]
30. Colodner R, Nuri Y, Chazan B, Raz R. Community-acquired and hospital-acquired candiduria: comparison of prevalence and clinical characteristics. European Journal of Clinical Microbiology & Infectious Diseases. 2008;27(4):301-5. [View at Publisher] [DOI:10.1007/s10096-007-0438-6] [PubMed] [Google Scholar]
31. Lima GME, Nunes MO, Chang MR, Tsujisaki RAS, Nunes JO, Taira CL, Thomaz DY, Negro GMBD, Mendes RP, Paniago AMM ,et at. Identification and antifungal susceptibility of Candida species isolated from the urine of patients in a university hospital in Brazil. Rev Inst Med Trop Sao Paulo. 2017 21;59:e75. [DOI:10.1590/s1678-9946201759075] [PubMed] [Google Scholar]
32. Kauffman CA. Diagnosis and management of fungal urinary tract infection. Infect Dis Clin North Am. 2014 ;28(1):61-74. [DOI:10.1016/j.idc.2013.09.004] [PubMed] [Google Scholar]
33. Kauffman CA, Vazquez JA, Sobel JD, Gallis HA, McKinsey DS, Karchmer AW, et al. Prospective multicenter surveillance study of funguria in hospitalized patients. The National Institute for Allergy and Infectious Diseases (NIAID) Mycoses Study Group. Clin Infect Dis. 2000 ;30(1):14-8. [View at Publisher] [DOI:10.1086/313583] [PubMed] [Google Scholar]
34. Guler S, Ural O, Findik D, Arslan U. Risk factors for nosocomial candiduria. Saudi medical journal. 2006;27(11):1706. [PubMed] [Google Scholar]
35. Weinberger M, Sweet S, Leibovici L, Pitlik SD, Samra Z. Correlation between candiduria and departmental antibiotic use. J Hosp Infect. 2003 ;53(3):183-6. [View at Publisher] [DOI:10.1053/jhin.2002.1354] [PubMed] [Google Scholar]
36. He Z, Liu Y, Wang T, Cheng Y, Chen J, Wang F. Candiduria in hospitalized patients: an investigation with the Sysmex UF-1000i urine analyzer. PeerJ. 2019;7:e6935. [DOI:10.7717/peerj.6935] [PubMed] [Google Scholar]
37. Zarei-Mahmoudabadi A, Zarrin M, Ghanatir F, Vazirianzadeh B. Candiduria in hospitalized patients in teaching hospitals of Ahvaz. Iran J Microbiol. 2012 ;4(4):198-203. [View at Publisher] [PubMed] [Google Scholar]
38. Nademi A, Shahrokh H, Kordbacheh P, Zaini F, Rezaie S, Mahmoudi M, et al. Identification and antifungal susceptibility pattern of Candida species isolated from patients with nosocomial candiduria. Journal of Mycology Research. 2015;2(2):77-84. [View at Publisher] [Google Scholar]
39. Ghasemi R, Rabiei MM, Lotfali E, Abolghasemi S, Ansari S. Candiduria: Prevalence, Identification of Isolated Candida Species and Trends in Antifungal Susceptibility in Hospitalized Patients. Novelty in Biomedicine. 2020;8(2):71-6. [View at Publisher] [PubMed] [Google Scholar]
40. Bahmaei M, Dehghan P, Mohammadi R, Chabavizadeh J, Mahaki B. Identification Of Candida Species Isolated From Candiduria Patients Using Polymerase Chain Reaction-Restriction Fragment Length Polymorphism In Isfahan, Iran. 2016. [Google Scholar]
41. Azad M, Chabavizadeh J, Dehghan P, Mohammadi R. The frequency of candiduria in hospitalized patients at nephrology department, Labbafinejad hospital, Tehran, Iran. 2017. [Google Scholar]
42. Singla N, Gulati N, Kaistha N, Chander J. Candida colonization in urine samples of ICU patients: determination of etiology, antifungal susceptibility testing and evaluation of associated risk factors. Mycopathologia. 2012 Aug;174(2):149-55. [View at Publisher] [DOI:10.1007/s11046-011-9514-7] [PubMed] [Google Scholar]
43. Kothavade RJ, Kura M, Valand AG, Panthaki M. Candida tropicalis: its prevalence, pathogenicity and increasing resistance to fluconazole. Journal of medical microbiology. 2010;59(8):873-80. [DOI:10.1099/jmm.0.013227-0] [PubMed] [Google Scholar]
44. Jain N, Mathur P, Misra MC, Behera B, Xess I, Sharma SP. Rapid identification of yeast isolates from clinical specimens in critically ill trauma ICU patients. Journal of laboratory physicians. 2012;4(1):30. [DOI:10.4103/0974-2727.98667] [PubMed] [Google Scholar]
45. Charsizadeh A, Mirhendi H, Nikmanesh B, Eshaghi H, Makimura K. Microbial epidemiology of candidaemia in neonatal and paediatric intensive care units at the Children's Medical Center, Tehran. Mycoses. 2018 Jan;61(1):22-9. [View at Publisher] [DOI:10.1111/myc.12698] [PubMed] [Google Scholar]

Add your comments about this article : Your username or Email:
CAPTCHA

Send email to the article author


Rights and permissions
Creative Commons License This work is licensed under a Creative Commons Attribution-NonCommercial 4.0 International License.